We are now working with patients to restore lost motion by removing cervical fusions and replacing them with artificial discs. Restorative Motion Surgery is an off-label procedure that applies the success of artificial disc replacement. If you have had a fusion, contact our office for a consultation.

Too many fusions and lost motion.
When we had a disc herniation or other disorder that couldn’t be solved with physical therapy or pain management, we turned to spinal fusion surgery. Spinal fusion was developed nearly 100 years ago. Ever since the 1940s, spinal fusion surgery has been the ‘go-to’ procedure to relieve common chronic disorders of the spine.
According to federal data, the number of spinal fusions performed in the US has risen since 1990 to about 480,000 procedures per year. Based on Dr. Lanman’s years of clinical research and work with patients, he believes that more than half of these patients should have never been fused. This is why the Lanman Spinal Neurosurgery clinic in Beverly Hills, CA now offers restorative motion surgery to patients who meet the criteria for the procedure.
Restoring motion that was lost to fusion.
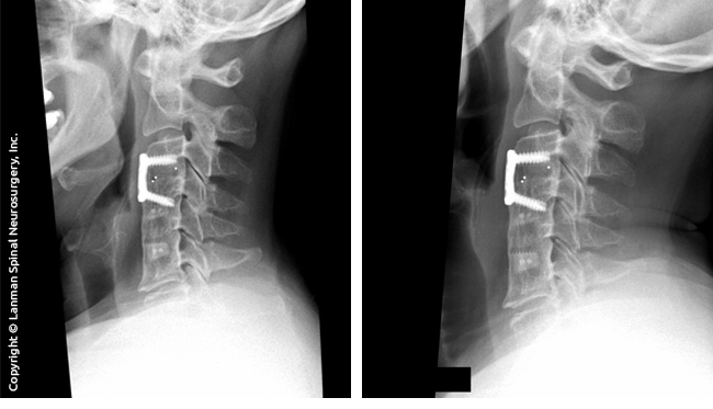
Fusion literally fuses two or more vertebral levels together as one. Major surgery is required to install rods and plates that are screwed into the bones of the affected levels. Bone grafts are added to add strength to the fusion.
The procedure requires a thorough examination, together with CT/MRI scans to determine the condition of the fusion(s). If the patient is a good candidate for the procedure, surgery is scheduled for removal of fusion and is replaced with artificial discs. The procedure has good results for patients of almost any age group. If a patient has had a fusion or a failed fusion (where there is a nonunion), they may be an excellent candidate.
Restorative Motion Surgery is an off-label procedure. It is not specifically approved by the FDA. Provisions for “off-label” use of artificial disc replacement opens a way for surgeons to customize treatment for unique patient situations.
It has been successfully performed on patients who wish to avoid additional fusions by adding artificial discs to adjacent levels (above and below an existing fusion). In other cases, we will remove one or more previous fusions if it is suitable to do so.
A next step for Artificial Disc Replacement
Restorative motion surgery is rational medical methodology that offers clear clinical benefits for the patient. It utilizes current medical technology and knowledge about the spine and procedures used to treat degenerative disc disease and other conditions.
With the help of our patients, this work is advancing a process and procedure that offers patients a new outlook on their spine health – one that includes restored natural range of motion. We have proven that we can retain movement with artificial disc replacement surgery. Now we are declaring that we can restore motion by surgically reversing past fusions.